CPA病变--MR增强(-)/T1WI低信号
□ 表皮样囊肿
□ 蛛网膜囊肿
□ 脑囊虫病
□ 神经上皮囊肿

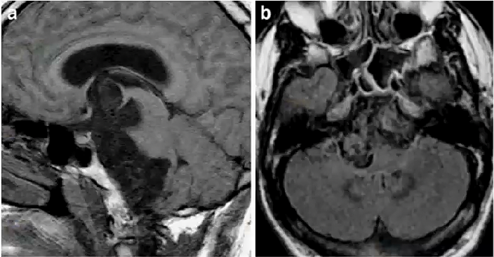
表皮样囊肿
□ CPA第三常见占位,1/2颅内表皮样囊肿位于CPA
□ 囊肿层状角质化上皮缓慢脱屑产生病变,包裹神经和血管,见缝就钻
□ 临床症状在肿块大时出现:三叉神经痛——Meckel 腔延伸;脑干卒中——基底动脉分支受压,非常罕见
□ MRI表现:
>T1WI 液体样低信号,>脑脊液
>T2WI 高信号,难与蛛网膜囊肿区分
>表皮样囊肿VS蛛网膜囊肿
● T2 FLAIR:等一高混杂信号/同CSF
● DWI:高信号,ADC受限/同CSF,术后随访确认残留
>特殊表皮样囊肿
● MRS:乳酸峰升高
● 高蛋白:T1WI高/T2WI低
● 囊内出血
● 鳞状上皮化一恶变,囊壁强化


文章来源: 杨健教授:桥小脑角区病变的MRI诊断思路
- 还没有人评论,欢迎说说您的想法!