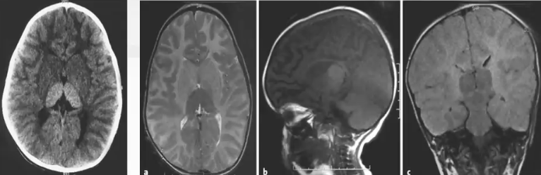
Sandhoffs病
❖ GM2神经节苷脂沉积病的Ⅱ型,即急性早期婴儿型
❖ CT表现为双侧丘脑对称性高密度。
❖ MRI表现为双侧丘脑T1高信号,T2低信号伴有白质高信号。

来源:《丘脑病变的影像学诊断与鉴别》
声明:仅供医学药学专业人士阅读,不构成实际治疗建议
文章来源: 《丘脑病变的影像学诊断与鉴别》
- 还没有人评论,欢迎说说您的想法!
Sandhoffs病
❖ GM2神经节苷脂沉积病的Ⅱ型,即急性早期婴儿型
❖ CT表现为双侧丘脑对称性高密度。
❖ MRI表现为双侧丘脑T1高信号,T2低信号伴有白质高信号。

来源:《丘脑病变的影像学诊断与鉴别》
声明:仅供医学药学专业人士阅读,不构成实际治疗建议
文章来源: 《丘脑病变的影像学诊断与鉴别》