肝豆状核变性(Wilson疾病)
❖ 是一种少见的常染色体隐性遗传的铜代谢障碍疾病,肝、脑、肾、角膜等部位异常铜沉积,以8-16岁好发,无明显性别差异。
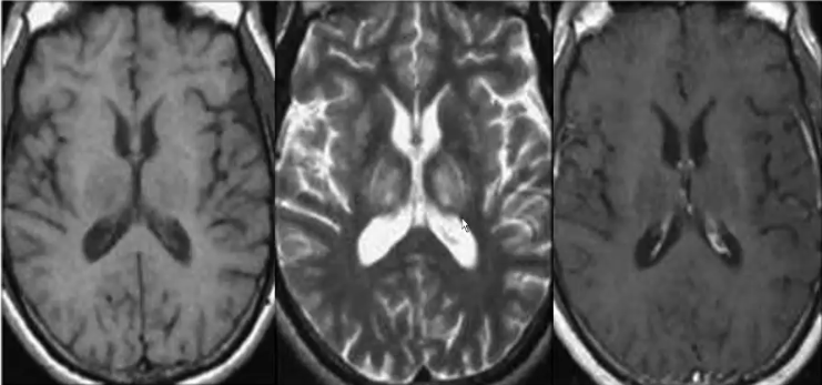
❖ CT表现:主要是基底节区低密度,有一定的特征性。以壳核受累为主,以下依次为大脑皮质、小脑齿状核、丘脑、中脑等。丘脑病变表现为对称性卵圆形低密度区,边界不清。
❖ MR表现:病灶大部分为T2不均匀高信号,呈条纹状改变;少部分T2W为低信号,可能由多种离子尤其是铁离子过度沉积所致。T1信号常降低,但是由于铜的顺磁性,T1的信号亦有可能升高。对比增强无明显强化,在疾病早期可有弥散受限,随着组织坏死和海绵状组织降解,弥散相可能恢复正常。

来源:《丘脑病变的影像学诊断与鉴别》
声明:仅供医学药学专业人士阅读,不构成实际治疗建议
文章来源: 《丘脑病变的影像学诊断与鉴别》
- 还没有人评论,欢迎说说您的想法!