特发性基底核钙化(Fahr疾病)
罕见,病因不详,主要临床表现为神经精神异常、帕金森或者舞蹈征样运动异常。
表现为广泛的深部灰质核团的对称性钙化,主要为苍白球,其余病变部位包括:壳核、尾状核、丘脑、小脑齿状核。
实验室检查钙-磷酸盐代谢正常(甲旁减表现为低钙血症、高磷血症)。

来源:《丘脑病变的影像学诊断与鉴别》
声明:仅供医学药学专业人士阅读,不构成实际治疗建议
文章来源: 《丘脑病变的影像学诊断与鉴别》
- 还没有人评论,欢迎说说您的想法!
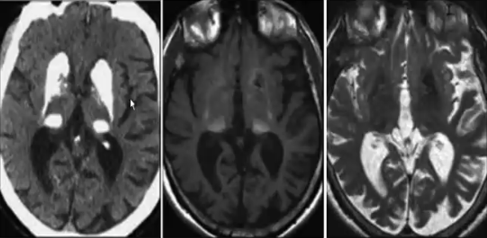
特发性基底核钙化(Fahr疾病)
罕见,病因不详,主要临床表现为神经精神异常、帕金森或者舞蹈征样运动异常。
表现为广泛的深部灰质核团的对称性钙化,主要为苍白球,其余病变部位包括:壳核、尾状核、丘脑、小脑齿状核。
实验室检查钙-磷酸盐代谢正常(甲旁减表现为低钙血症、高磷血症)。

来源:《丘脑病变的影像学诊断与鉴别》
声明:仅供医学药学专业人士阅读,不构成实际治疗建议
文章来源: 《丘脑病变的影像学诊断与鉴别》