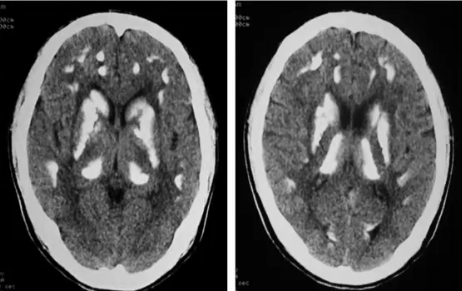
甲状旁腺功能减退和假性甲旁减
是因甲状旁腺分泌不足或先天性肾小管或骨对甲状旁腺反应不良而引起的疾病。本病发生多发对称性的脑内钙化,有一定特征性。
CT表现:主要表现为基底节或丘脑、脑叶、小脑齿状核区域多发对称性斑片状钙化。丘脑钙化表现为双侧类圆形,或尖向上的三角形。

来源:《丘脑病变的影像学诊断与鉴别》
声明:仅供医学药学专业人士阅读,不构成实际治疗建议
文章来源: 《丘脑病变的影像学诊断与鉴别》
- 还没有人评论,欢迎说说您的想法!
甲状旁腺功能减退和假性甲旁减
是因甲状旁腺分泌不足或先天性肾小管或骨对甲状旁腺反应不良而引起的疾病。本病发生多发对称性的脑内钙化,有一定特征性。
CT表现:主要表现为基底节或丘脑、脑叶、小脑齿状核区域多发对称性斑片状钙化。丘脑钙化表现为双侧类圆形,或尖向上的三角形。

来源:《丘脑病变的影像学诊断与鉴别》
声明:仅供医学药学专业人士阅读,不构成实际治疗建议
文章来源: 《丘脑病变的影像学诊断与鉴别》