渗透性脱髓鞘病
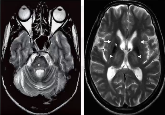
❖ 渗透性脱髓鞘病包含脑桥中央髓鞘溶解及脑桥外髓鞘溶解。常伴随血浆渗透压的快速改变,常见的临床病例为低血钠的快速纠正。也可见酗酒者,长期营养不良,长期疲劳的器官移植患者。
❖ 典型的病变为脑桥中央病变(脑桥中央的脱髓鞘),其余部位的改变可见于基底节、丘脑和白质(脑桥外髓鞘溶解)。
❖ MRI表现:病变区的T1低信号,T2高信号,增强不常见,可见弥散降低,DWI高信号。

来源:《丘脑病变的影像学诊断与鉴别》
声明:仅供医学药学专业人士阅读,不构成实际治疗建议
文章来源: 《丘脑病变的影像学诊断与鉴别》
- 还没有人评论,欢迎说说您的想法!