寄生虫感染-弓形虫脑炎
❖ 见于有严重免疫缺陷患者和AIDS患者,是AIDS患者最常见的机会性颅内感染
❖ 率CT增强扫描显示病灶呈环形和结节状强化,强化环通常薄而光滑,较大的病灶也可厚而不规则。
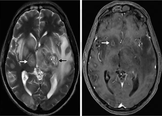
❖ MRI在检测新老病灶方面均比CT更加敏感。在T2上活动性病灶的信号强度各不相同,可呈高信号,与周围水肿难以区分,也可呈等信号或低信号,可见同心圆靶征。T1上呈等信号或低信号。增强后呈环形或结节状强化,偏心性靶征,出血较为少见。

来源:《丘脑病变的影像学诊断与鉴别》
声明:仅供医学药学专业人士阅读,不构成实际治疗建议
文章来源: 《丘脑病变的影像学诊断与鉴别》
- 还没有人评论,欢迎说说您的想法!