寄生虫感染-脑囊虫病
❖ 脑囊虫病是猪绦虫的囊尾蚴寄生于颅内所致。
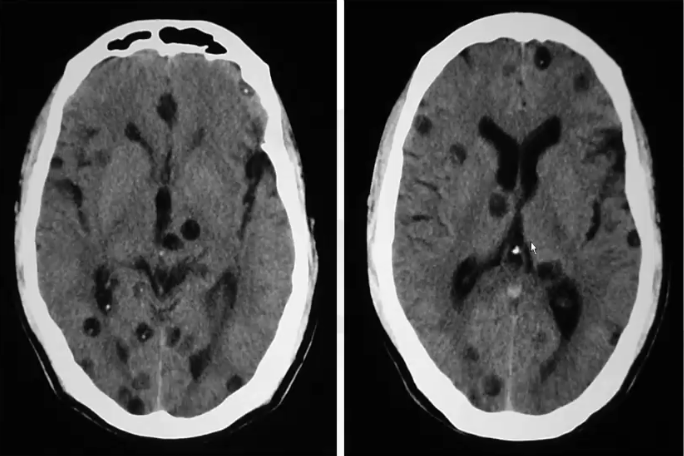
❖ 脑实质型的囊虫病病理上分为4期,各期的CT表现:
I期为囊泡期:平扫表现为脑实质内单发或多发的小圆形囊性低密度影。典型者囊泡内可见小结节状等密度影,即囊尾蚴的头节。增强扫描多数低密度灶不强化,少数呈结节状或环状强化。
Ⅱ期为胶样囊泡期:病灶密度增高,头节逐渐消失,周围水肿明显,增强扫描可见环形强化。
Ⅲ期为结节肉芽肿期:平扫呈不规则低或稍高密度灶,周围可见不同程度水肿,增强后呈结节样或环形强化。
IV期为钙化期:高密度影,增强后病灶不强化。

来源:《丘脑病变的影像学诊断与鉴别》
声明:仅供医学药学专业人士阅读,不构成实际治疗建议
文章来源: 《丘脑病变的影像学诊断与鉴别》
- 还没有人评论,欢迎说说您的想法!