病毒感染
❖ 在多种病毒性脑炎可见丘脑病变,包括:流行性乙型脑炎病毒、西尼罗河病毒脑炎、森林脑炎病毒和登革病毒。
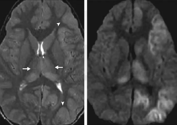
❖ 毒性脑炎:多发或单发病灶,多见于双侧大脑半球额、顶、题叶及基底节-丘脑区,可对称或不规则分布,亦可累及脑干和小脑

乙型脑炎
❖ 乙脑病毒亦称为日本脑炎病毒,10岁以下儿童多发,近年来,成人及老年人患者相对增加。
❖ 乙型脑炎常累及双侧丘脑,主要表现为双侧丘脑-基底节和(或)其他脑叶内的多发CT低密度影及MRI异常信号影,皮层下病灶容易合并出血,其中双侧丘脑合并基底节对称性低密度影或异常信号影比较有特异性。
❖ 与静脉性脑梗死的鉴别要点在于,前者有流行病学特点,血清、脑脊液乙脑病毒抗体阳性。

来源:《丘脑病变的影像学诊断与鉴别》
声明:仅供医学药学专业人士阅读,不构成实际治疗建议
文章来源: 《丘脑病变的影像学诊断与鉴别》
- 还没有人评论,欢迎说说您的想法!