中枢神经系统淋巴瘤(PCNSL)
❖ 发病率近年有增多趋势,非AIDS患者的发病高峰年龄为60岁。
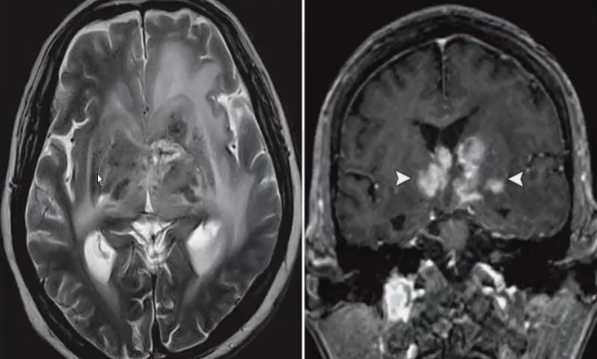
❖ 常为多发病灶,也可单发。典型影像学表现为肿块累及深部灰质结构,脑室旁区和胼胝体。
❖ CT表现:平扫90%左右为圆形或类圆形等或略高密度影,瘤周多有轻度至中度水肿带,对比之下肿瘤轮廓显示清楚。发生坏死较少,增强呈均匀强化。
❖ MRI表现:平扫大多呈等或略长T1、等或长T2信号,边界较清楚,增强呈均匀明显强化,坏死囊变少见。常包埋脑室生长,侵犯半球深部脑室周围白质、胼胝体、基底节,室管膜下。

来源:《丘脑病变的影像学诊断与鉴别》
声明:仅供医学药学专业人士阅读,不构成实际治疗建议
文章来源: 《丘脑病变的影像学诊断与鉴别》
- 还没有人评论,欢迎说说您的想法!