转移瘤
❖ 肿瘤的脑转移可见于任何年龄组,但高发年龄是40-70岁。
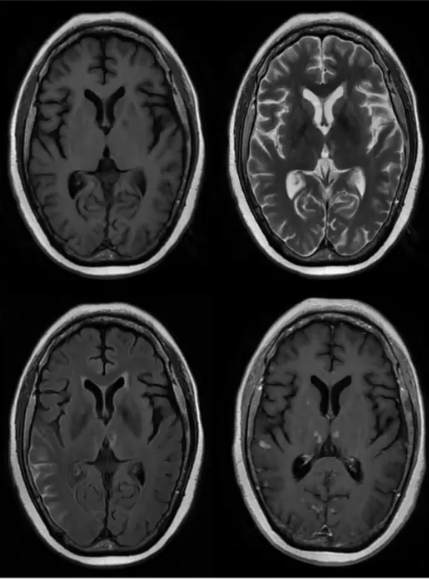
❖ 幸转移瘤深部少见,可累及大脑深部至基底节-丘脑区。
❖ 其CT和MRI表现形态多样,密度和信号也不尽相同,病灶边缘光整,大多伴发不同程度水肿。多有原发肿瘤病史,颅内其他部位有多发病灶存在可提示诊断。

单发转移瘤应与恶性胶质瘤相鉴别
❖ 是否有原发灶。
❖ 转移瘤边界多较清,周围水肿为单纯血管源性水肿,无瘤细胞浸润,水肿区血流量因水肿压迫而下降,而恶性胶质瘤周围水肿区伴有肿瘤细胞浸润及伴随的新生血管,常表现为高灌注。因此灌注成像有助于二者的鉴别。
来源:《丘脑病变的影像学诊断与鉴别》
声明:仅供医学药学专业人士阅读,不构成实际治疗建议
文章来源: 《丘脑病变的影像学诊断与鉴别》
- 还没有人评论,欢迎说说您的想法!