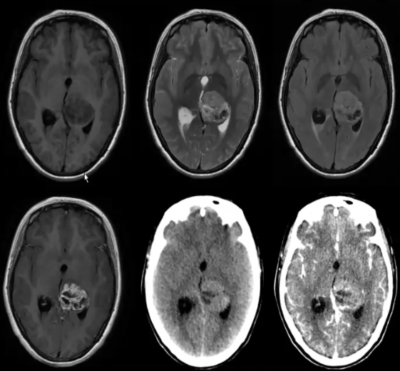
丘脑区胶质瘤
最常见,多见于30岁左右的青年人,病理学上以星形细胞瘤较多。由于占位效应可导致松果体受压移位,并致第三脑室及导水管受压致使双侧侧脑室扩大。当肿瘤较大时,可致内囊向外侧移位,
CT表现:
CT可见丘脑低、等混杂密度肿块,中心为低密度区,邻近侧脑室三角区内脉络丛钙化略向外移位,肿瘤边界多不清楚,密度不均匀,少数有钙化,周围可有水肿,增强扫描除儿童毛细胞型星形细胞瘤明显强化外,多数病例为环形增强或无增强。
MRI表现:
MRI表现为丘脑区混杂信号肿块,T¹以低信号为主,间以等信号影,T2呈不均匀高信号,FLAIR亦呈不均匀高信号,其中肿块内坏死部分呈低信号,可有明显占位效应,强化特点与肿瘤分级有关,1-2级无强化或条片状强化,3-4级呈明显不规则环状强化。

间变性星形细胞瘤
来源:《丘脑病变的影像学诊断与鉴别》
声明:仅供医学药学专业人士阅读,不构成实际治疗建议、
文章来源: 《丘脑病变的影像学诊断与鉴别》
- 还没有人评论,欢迎说说您的想法!