缺血缺氧性脑病
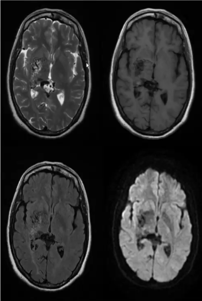
❖ 当血流减少超过前循环到后循环的反射性分流代偿机制的上限,会导致大脑深部核团、脑干、大脑皮层的损害。DWI是能够在最早期发现异常的影像改变。

男,64岁。患者具有长期缺氧史
血管畸形
❖ 颅内的血管畸形可分为动静脉畸形(AVM)、海绵状血管瘤、毛细血管扩张症、静脉血管瘤或静脉发育异常四种病理类型。
❖ 任何类型的血管畸形均可发生于丘脑。

来源:《丘脑病变的影像学诊断与鉴别》
声明:仅供医学药学专业人士阅读,不构成实际治疗建议
文章来源: 《丘脑病变的影像学诊断与鉴别》
- 还没有人评论,欢迎说说您的想法!