可逆性后部脑病综合征
最常见的病因是高血压脑病,尤其易发生在高血压性肾功能衰竭的患者(如尿毒症),妊娠或产褥期有惊厥发作者次之。
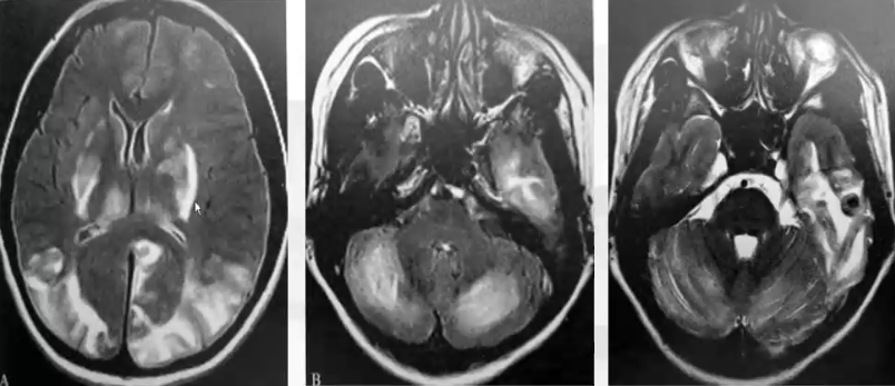
影像学改变的特点为皮质下白质脑水肿,可累及皮质,丘脑和脑干可受累。通常病变白质重于灰质,后循环重于前循环。两侧基本对称,也可不对称,占位效应轻
CT和MR的典型表现为对称性的血管源性水肿,主要出现在后循环区域。DW常为正常表现,但是部分患者也会出现弥散降低,提示细胞毒性脑水肿的出现。

女,25岁,妊娠高血压。双侧基底节-丘脑区、双侧题顶枕叶皮质及皮质下、双侧小脑半球白对称性高信号,左侧题叶可见出血。
来源:《丘脑病变的影像学诊断与鉴别》
声明:仅供医学药学专业人士阅读,不构成实际治疗建议
文章来源: 《丘脑病变的影像学诊断与鉴别》
- 还没有人评论,欢迎说说您的想法!