静脉性血管闭塞致双侧丘脑梗死
脑静脉和静脉窦血栓形成的发病机制尚未完全清楚,有学者认为主要与下列情况有关:①血管管壁的病变;②血流缓慢;③血液成分改变。
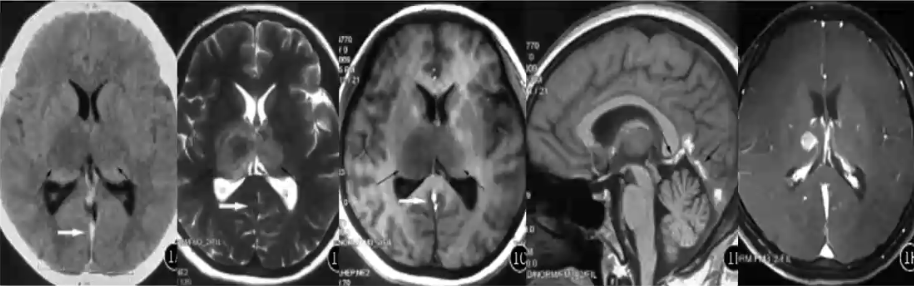
对病变部位在基底节或丘脑的年轻女性,尤其是双侧同时受累者,应高度怀疑静脉性梗死。
大脑大静脉血栓
❖ 大脑大静脉(Galen静脉)主要引流大脑深部的静脉血流。

❖ Galen静脉血栓形成时,相应引流区常同时受累,且部位、范围基本对称
❖ 典型影像学表现:直接征象为CT上Galen静脉内的高密度影,MR上Galen静脉内的短T1、长T2信号。间接征象为CT上的双侧丘脑、内囊及基底节区对称性低密度影,MR上的受累区对称性的长T1、长T2异常信号;可继发出血性脑梗塞

来源:《丘脑病变的影像学诊断与鉴别》
声明:仅供医学药学专业人士阅读,不构成实际治疗建议
文章来源: 《丘脑病变的影像学诊断与鉴别》
- 还没有人评论,欢迎说说您的想法!