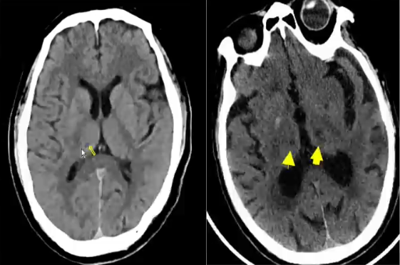
丘脑梗死
主要为腔隙性梗死,多发生于丘脑穿通动脉,是长期高血压引起脑深部白质及脑干穿通动脉病变和闭塞,导致缺血性微梗死,缺血、坏死和液化脑组织由吞噬细胞移走形成腔隙。病灶较小,直径一般不超过1.5厘米。
丘脑腔隙性梗死
影像学表现-CT表现:CT上表现为丘脑区类圆形低密度病灶,边界清楚或不清,直径多为10-15mm。占位效应轻,一般仅有相邻脑室局部受压,多无中线结构移位。注射对比剂有些可见病变区结节样强化。
影像学表现-MRI表现:T1呈等或略低信号,T2呈高信号,边界不清。MRA难以显示这些小动脉。

来源:《丘脑病变的影像学诊断与鉴别》
声明:仅供医学药学专业人士阅读,不构成实际治疗建议
文章来源: 《丘脑病变的影像学诊断与鉴别》
- 还没有人评论,欢迎说说您的想法!