丘脑出血
❖ 丘脑出血发病平均年龄在60岁以上,以高龄、高血压、脑动脉硬化及活动或激动为主要的病因和诱因。
❖ 金以丘脑穿通动脉破裂出血最常见。临床上多突然起病,发展迅速,有不同程度的意识障碍及头痛、呕吐等颅压增高表现,临床症状主要取决于出血是局限于丘脑,还是向周围临近区域扩展及与出血量的多少。
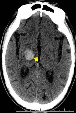
CT表现:
急性期丘脑血肿常表现为丘脑内圆形、类圆形或不规则形高密度影,边界清楚或边缘可见窄带样低密度影围绕,邻近结构(如内囊、侧脑室三角区、第三脑室)可见不同程度的受压变形。由于丘脑血肿邻近第三脑室与侧脑室,故常可见丘脑血肿从邻近脑室缘破入侧脑室或第三脑室。

按照头部CT的表现可分为三型
(1)局限型:出血量一般<10ml,局限于丘脑,症状较轻,多无意识障碍,无并发症,常有运动障碍和感觉障碍;
(2)丘脑基底节型血肿侵入基底节,出血量一般>15ml,患者瘫痪症状较重,可出现典型的三偏症状,可有轻度意识障碍;
(3)丘脑脑室型:血肿破入侧脑室及三、四脑室,出血量一般>20ml,多有意识障碍,严重的出现中线移位,引起应激性溃疡、中枢性高热、肺水肿等并发症。

来源:《丘脑病变的影像学诊断与鉴别》
声明:仅供医学药学专业人士阅读,不构成实际治疗建议
文章来源: 《丘脑病变的影像学诊断与鉴别》
- 还没有人评论,欢迎说说您的想法!