肺副球孢子菌病(Pulmonary paracoccidioidomycosis)
❖ 地方性真菌病,主要在拉丁美洲,如巴西等
❖ 主要累及男性,30-60岁均可发病
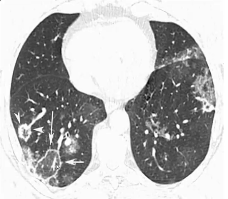
❖ RHS:中下肺野、多发、毛刺状边缘,同时伴有其它类型肺实质异常,考虑此病

骨髓移植后肺部真菌感染鉴别
❖ 骨髓移植后粒缺期(2-3周):严重粒缺,免疫受损严重;早期(3周-100天):中性粒细胞逐步恢复,免疫功能仍然低下;晚期(大于100天):免疫功能基本恢复
❖ 各种类型真菌感染主要发生在粒缺期,但各期间内真菌感染类别无显著差异
❖ 肺部感染CT表现重叠较多,无明显特异性(52例曲霉,19例念珠、14例隐球菌感染)
❖ 肿块样病变在侵袭性曲霉菌感染中常见
❖ 抗真菌治疗后,曲霉菌结节在最初的10天内可以继续增大(此阶段免疫重建,不需要更换治疗方法)
来源:《肺部真菌感染的影像学诊断》
声明:仅供医学药学专业人士阅读,不构成实际治疗建议
文章来源: 《肺部真菌感染的影像学诊断》
- 还没有人评论,欢迎说说您的想法!