肺组织胞浆菌病(Pulmonary histoplasmosis)
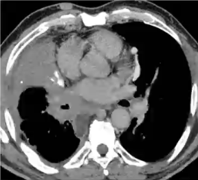
❖ 急性和亚急性期:单/双肺结节,伴/不伴双肺弥漫斑片影,常伴有纵隔和肺门淋巴结增大
❖ 亚急性期者斑片影更为局限
❖ 慢性期与结核相似:上叶多见的空洞、纤维化、肺体积缩小、胸膜增厚、淋巴结钙化(但不大)等
❖ 纤维性纵隔炎是其晚期较为少见但严重的并发症


镰刀菌肺炎(Fusarium pneumonia)
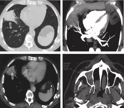
❖ 侵袭性镰刀菌肺炎一般表现为小气道或者支气管周围浸润影,其次为大结节样实变伴低密度征
❖ 晕征和血管阻塞征少见
❖ 肺部浸润影伴低密度征,但无晕征和血管阻塞需考虑镰刀菌肺炎,特别是合并高密度上颌窦和筛窦炎者

来源:《肺部真菌感染的影像学诊断》
声明:仅供医学药学专业人士阅读,不构成实际治疗建议
文章来源: 《肺部真菌感染的影像学诊断》
- 还没有人评论,欢迎说说您的想法!