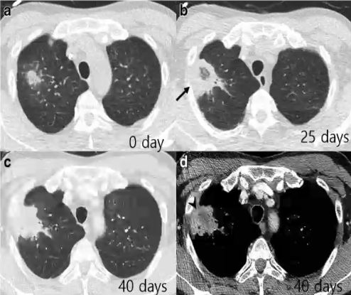
肺毛霉菌病(Pulmonary mucormycosis)CT表现
❖ PM主要表现为实变、结节或肿块样病变伴晕征
❖ 早期:实变、结节或肿块伴晕征
❖ 反晕征、中心坏死或空气新月征主要发生于治疗后粒缺恢复阶段

肺曲霉菌病与毛霉菌病鉴别
❖ 曲霉菌与毛霉菌的治疗有差别
❖ 曲霉菌感染气道侵袭性表现更常见
❖ 毛霉菌感染中RHS较常见
❖ 结节伴晕征二者均可
❖ 感染后1-5天RHS在PM中常见,支气管增厚在IPA中常见,大结节、肿块样实变及晕征二者相似
❖ 感染后6-14天,RHS在PM中常见,支气管周围实变IPA中常见,空气新月征在PM中较常见
❖ 二者总体上差别不大,但二者病原上差异可能造成不同扫描时期表现不同
来源:《肺部真菌感染的影像学诊断》
声明:仅供医学药学专业人士阅读,不构成实际治疗建议
文章来源: 《肺部真菌感染的影像学诊断》
- 还没有人评论,欢迎说说您的想法!