肺部真菌感染影像学表现
❖ 血管侵袭:大结节(大约1cm)(菌丝累及小动脉),肿块样实变、梗死样实变(菌丝累及中等动脉),晕征
❖ 气道侵袭:簇状小叶中心结节、支气管周围实变、磨玻璃密度影、光滑的支气管壁增厚
❖ 坏死性肺炎:空气新月征、空洞、低密度征、反晕征、鸟巢征

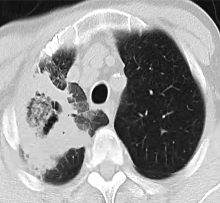
反晕征(reversed halo sign, RHS)
❖ 定义:局限性、圆形磨玻璃影被环状的实变影包绕
❖ 最开始报道于机化性肺炎(OP)
❖ 也可以见于其它感染和非感染性病变
❖ 真菌感染中,RHS常见于毛霉菌感染
❖ 也有报道:RHS最常见于快速进展的曲霉菌,其次为毛霉菌感染

来源:《肺部真菌感染的影像学诊断》
声明:仅供医学药学专业人士阅读,不构成实际治疗建议
文章来源: 《肺部真菌感染的影像学诊断》
- 还没有人评论,欢迎说说您的想法!