肺部真菌感染影像学表现
❖ 肺部真菌感染影像表现与宿主免疫功能状态、真菌特性、侵入机体的病原体数量和侵入机体的途径有关
❖ 慢性或者免疫正常状态下真菌感染主要是肉芽肿性炎,影像上表现为肺结节或肿块
❖ 急性或者免疫低下状态下真菌感染复杂多样(多发、多态、多变)
❖ 血管侵袭:大结节(>1cm)(菌丝累及小动脉),肿块样实变、梗死样实变(菌丝累及中等动脉),晕征
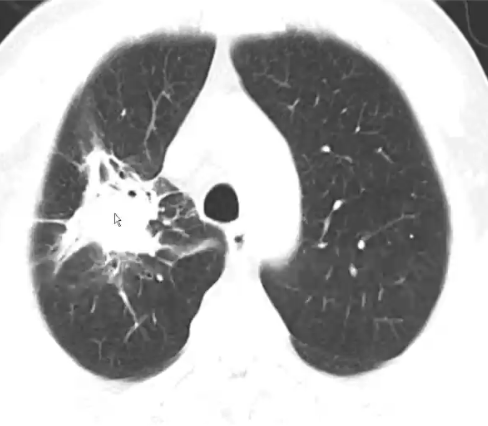
❖ 气道侵袭:簇状小叶中心结节、支气管周围实变、磨玻璃密度影、光滑的支气管壁增厚
❖ 坏死性肺炎:空气新月征、空洞、低密度征、反晕征、鸟巢征

来源:《肺部真菌感染的影像学诊断》
声明:仅供医学药学专业人士阅读,不构成实际治疗建议
文章来源: 《肺部真菌感染的影像学诊断》
- 还没有人评论,欢迎说说您的想法!