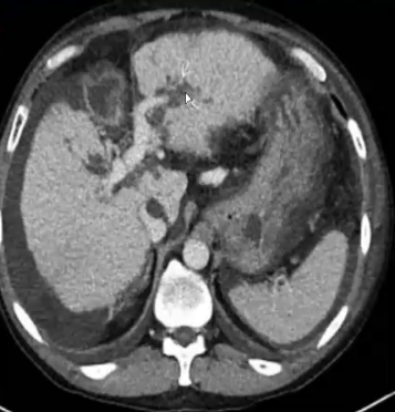
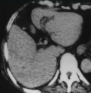
❖ 肝硬化伴门脉高压症:多发性肝胆道周围囊肿
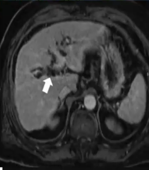
❖ 尽管胆道周围囊肿通常被认为是无临床症状,囊性扩张似乎是梗阻性黄疸进展的原因
❖ 下图:胆管周围囊肿,ERCP造影无左肝胆管扩张,反而有狭窄表现


❖ 胰腺结石伴慢性胰腺炎伴有胆管周围囊肿


来源:《肝脏囊性病变的影像诊断》
声明:仅供医学药学专业人士阅读,不构成实际治疗建议
文章来源: 《肝脏囊性病变的影像诊断》
- 还没有人评论,欢迎说说您的想法!
❖ 肝硬化伴门脉高压症:多发性肝胆道周围囊肿
❖ 尽管胆道周围囊肿通常被认为是无临床症状,囊性扩张似乎是梗阻性黄疸进展的原因
❖ 下图:胆管周围囊肿,ERCP造影无左肝胆管扩张,反而有狭窄表现


❖ 胰腺结石伴慢性胰腺炎伴有胆管周围囊肿


来源:《肝脏囊性病变的影像诊断》
声明:仅供医学药学专业人士阅读,不构成实际治疗建议
文章来源: 《肝脏囊性病变的影像诊断》