IPNB
❖ 胆管导管内乳头状肿瘤(intraductal papillary neoplasmsofbile duct,IPNB)是一类少见的胆道肿瘤
❖ IPNB为胆管上皮性肿瘤,在胆道内呈乳头状或囊状外生型生长,可生长在胆道的任何部位,包括肝内(69%)、肝外(22%)及肝门部(9%)
❖ 分泌粘液伴胆道扩张,下游胆管扩张,而非上游扩张(后者更常见于因外部压迫引起的黏液性囊性肿瘤MCNs)
影像表现
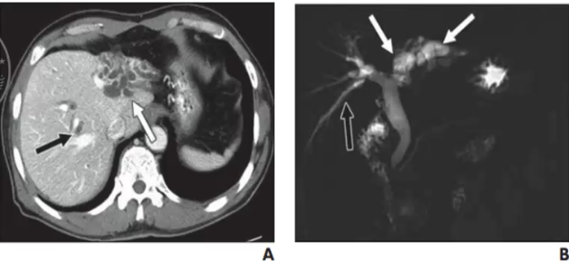
❖ IPNB典型表现为扩张胆管腔内边界清晰的乳头状肿块或绒毛状软组织影
❖ 增强实性部分动脉期明显强化,门脉期及延迟期呈等或稍低密度
❖ 黏液密度及信号和水类似,当囊内出血或黏液蛋白含量较高时,T1信号混杂
❖ MRCP肝内胆管局部囊状扩张,内见结节状充盈缺损上下游胆管明显扩张
PNB的形态分型
❖ I型:导管内肿块伴近端胆管扩张
❖ II型:不成比例胆管扩张不伴可见肿块
❖ Ⅲ型:导管内肿块伴近远端胆管扩张
❖ IV型:局灶囊性扩张伴乳头状肿块

临床特征
❖ 多发生于中老年男性
❖ 可能与肝内胆管结石和华支睾吸虫感染有关
❖ 临床表现以右侧腹部疼痛(42%)最为常见,其次为梗阻性黄疸(33%)、反复发作的胆管炎(14%),部分患者无任何症状(12%)
❖ 实验室检查可见肝功能指标异常及胆红素升高


来源:《肝脏囊性病变的影像诊断》
声明:仅供医学药学专业人士阅读,不构成实际治疗建议
文章来源: 《肝脏囊性病变的影像诊断》
- 还没有人评论,欢迎说说您的想法!