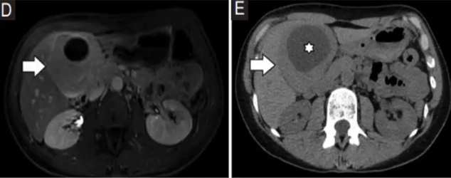
CT表现
❖ 肝内多囊性肿块,具有清晰、厚薄不均或不规则的纤维性囊壁,伴内部分隔、壁结节,偶见囊壁钙化
❖ 平扫时肿瘤的CT密度与水相近(≤30 HU),但因囊内液体成分(浆液性、黏液性、胆汁染色液体)、胆固醇结晶及坏死或脓性物质的存在,不同囊内分隔间的CT值可能存在差异
❖ 增强扫描时,沿囊壁、内部分隔及壁结节/分隔可见强化
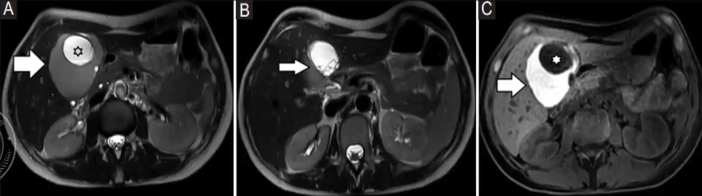
MR表现
❖ 典型的MRI特征包括:较大的多房性囊性肿块,T1WI呈低信号,T2WI呈高信号,囊壁厚且不规则,增强可见囊壁及分隔强化
❖ MRI对薄层分隔、内部出血、蛋白质碎屑、液液平面、与胆道相通伴上游胆管扩张等特征的显示更具优势


来源:《肝脏囊性病变的影像诊断》
声明:仅供医学药学专业人士阅读,不构成实际治疗建议
文章来源: 《肝脏囊性病变的影像诊断》
- 还没有人评论,欢迎说说您的想法!