胆管错构瘤
❖ 胆管错构瘤(biliary hamartoma)是一种先天性胆管发育畸形,是一种少见的肝脏病变,由Von Meyenburg于1918年首先描述,故又称VonMeyenburg综合征
❖ 多认为是胚胎期胆管板发育畸形或胆管板重塑异常所致
❖ 在肝内分布多种多样,可以局限于某一肝段,也可累及多个肝段但以某肝段为主,最多见者为弥漫分布于所有肝段病,切面表现为灰白0.1-1.5cm大小结节
❖ 镜下由位于纤维间质中众多致密的导管形成,纤维间质可玻璃变,导管轮廓常不规则,可见扩张或含有颗粒状浓缩胆质,与胆管树不交通
❖ 临床症状,主要表现上腹部隐痛,余无特异性症状或体征
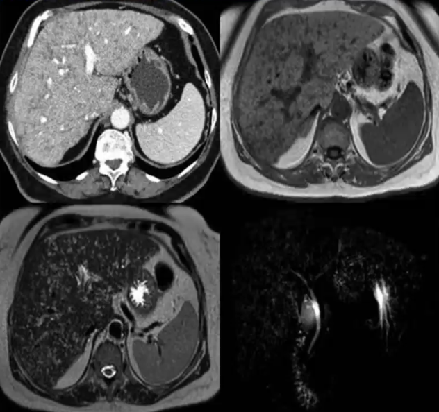
影像表现
❖ CT:平扫主要表现为肝内多发低密度的小囊状病灶
❖ MRI:T1WI低信号,T2WI高信号,DWI等信号
❖ MRCP:所有病灶呈明显囊状高信号,沿胆管树分布,但不与胆管树相互交通
❖ 增强扫描多无强化,少数病灶可出现环形强化,认为是由于病灶压迫邻近肝组织或者炎性细胞浸润所致

来源:《肝脏囊性病变的影像诊断》
声明:仅供医学药学专业人士阅读,不构成实际治疗建议
文章来源: 《肝脏囊性病变的影像诊断》
- 还没有人评论,欢迎说说您的想法!