复杂性(出血性或感染性)单纯性肝囊肿
> 囊内出血(最常见并发症)或感染可形成复杂囊性病变,常与肿瘤难以鉴别,临床表现包括疼痛和发热
> CT:出血性囊肿可表现为内部“火焰状”突起,或呈厚纤维包膜、内部分隔及壁结节等复杂囊性肿块;感染性可见囊壁增厚强化、液-液平面或囊内气泡
> MR:出血或蛋白性内容物无强化,但急性期出血性囊肿在T1和T2均呈高信号,数月后T1加权像仍可呈高信号,并可能伴分隔、壁结节及碎屑
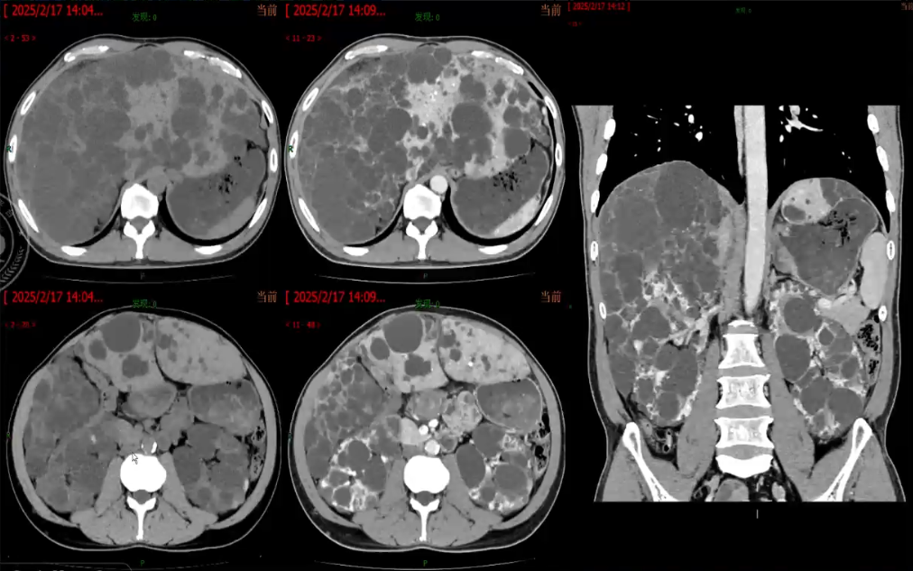
多囊肝
> 是一种常染色体显性遗传病变,分为常染色体显性多囊肾病型、单纯性常染色体显性多囊肝病型
> 常染色体显性多囊肾病型,多见,常染色体显性多囊肾病合并肝脏受累,由PKD1或PKD2基因突变导致,常合并多囊肾
> 单纯性常染色体显性多囊肝病型,由PRKCSH或SEC63等基因突变引起,仅累及肝脏
> 二者在遗传学上存在差异,但病理学表现难以区分
> 肝内布满多发、弥漫、数量众多的不同大小囊肿(>20个),可累及全肝,也可密集于一叶(肝右叶较多)囊肿大小不等,有融合趋势,易继发出血或感染
> 肝脏通常增大,由于肝脏肿大的占位效应,邻近器官及肝内主要血管受压的情况较为常见
> 病程后期囊肿间肝组织可出现纤维化和胆管增生,引起肝硬化和门脉高压
影像表现
> 由多个融合囊肿形成的“多房样”表现病灶
> 囊肿内含清亮或淡黄色液体,其CT值和MR信号强度分别与水的特征一致,平扫CT显示囊内密度增高或MR T1WI信号增高,可能提示囊肿内出血或感染
> 囊壁菲薄且规则,无强化表现
> 囊壁钙化则提示既往出血或感染史

来源:《肝脏囊性病变的影像诊断》
声明:仅供医学药学专业人士阅读,不构成实际治疗建议
文章来源: 《肝脏囊性病变的影像诊断》
- 还没有人评论,欢迎说说您的想法!