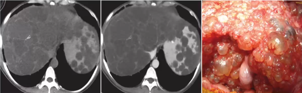
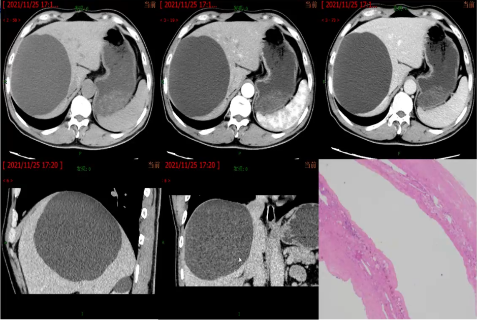
肝囊肿
肝囊肿:起源于肝内迷走胆管的滞留性囊肿,不与胆管相通,可继发出血、感染、破裂,单房或多房

单纯性肝囊肿
单纯性肝囊肿壁薄而光滑的病变,内衬立方上皮,分泌胆汁样液体,囊肿的直径<30 cm,并且可能包含多达2个隔膜
经常在腹部影像学检查中偶然发现,系胆管发育异常形成的小胆管丛,逐渐扩大、融合形成的肝囊性病变,不与胆管相通
影像学表现
影像学表现:单发或多发、圆形、边界光滑锐利
CT:低密度影(CT值与水接近),增强扫描无强化
MR:T1低信号,T2高信号,增强扫描无强化

来源:《肝脏囊性病变的影像诊断》
声明:仅供医学药学专业人士阅读,不构成实际治疗建议
文章来源: 《肝脏囊性病变的影像诊断》
- 还没有人评论,欢迎说说您的想法!