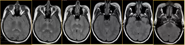
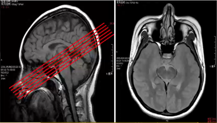
经蝶手术入路评价:切层平行于鼻蝶线,范围包括蝶窦和蝶鞍区


Hamberger的蝶窦分型
√甲介型:鞍前蝶窦发育小,窦壁与鞍底间硬化骨质>10mm。
√鞍前型:蝶窦腔后缘于A线前
√半鞍型:蝶窦腔后缘于AB线间
√全鞍型:蝶窦腔后缘于B线前
√鞍枕型:蝶窦腔后界越过B线达枕骨
√N线(Nasion线):鞍结节至后床突的连线
√A线:鞍结节垂直于N线
√B线:蝶鞍后床突垂直于N线

来源:《鞍区肿瘤的影像学诊断思路》
声明:仅供医学药学专业人士阅读,不构成实际治疗建议
文章来源: 《鞍区肿瘤的影像学诊断思路》
- 还没有人评论,欢迎说说您的想法!