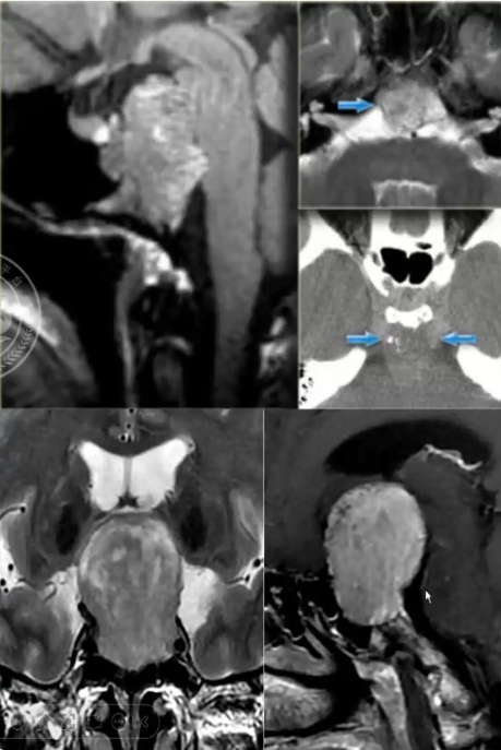
√ 脊索瘤:常见于斜坡,该区域亦是转移瘤、软骨肉瘤的好发部位 垂体常表现正常或向前移位
√ 肿瘤钙化常见
√ 鉴别诊断:软骨瘤与软骨肉瘤。软骨瘤好累及中线区,而软骨肉瘤常发生于偏中线
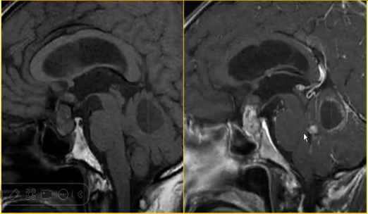
√ 神经鞘瘤:有包膜,常伴各种退变:粘液样变、脂肪变性、色素沉着;囊实性,粘液于裂隙状分布于实质中,包膜下囊变是特征

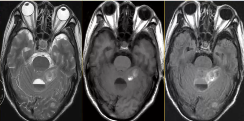
√ 鞍区转移性肿瘤,较少见(1%),鞍上下同时存在,垂体破坏性改变,其它区域常合并转移病灶


来源:《鞍区肿瘤的影像学诊断思路》
声明:仅供医学药学专业人士阅读,不构成实际治疗建议
文章来源: 《鞍区肿瘤的影像学诊断思路》
- 还没有人评论,欢迎说说您的想法!