√鞍区动脉瘤常来自颈内动脉,向鞍内及鞍上生长,CT平扫类似垂体瘤,增强及MRI可以区别
√鞍区动脉瘤是鞍区病变鉴别诊断中首先要甄别
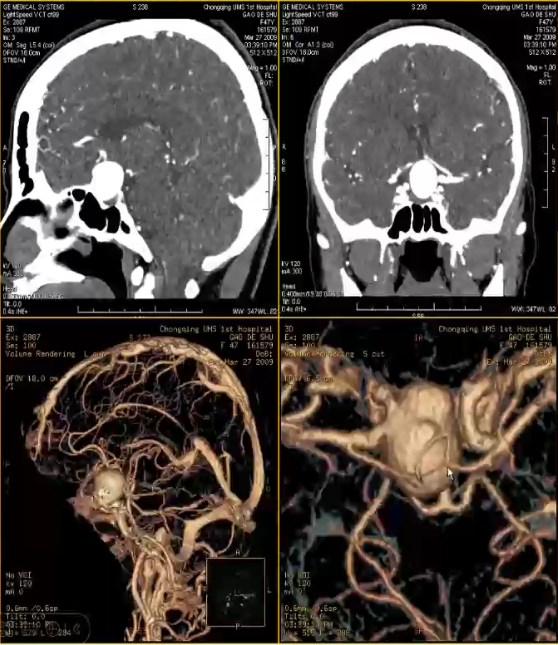
女,47岁,视力下降3月,CT平扫鞍区及鞍上高密度肿块,考虑垂体瘤,不除外动脉瘤,MRI垂体显示正常病变呈流空信号,增强后中心片状强化,病变的相位方向明显搏动伪影,VCTDSA清晰显示左侧颈内动脉床突上段动脉瘤



√男,52岁,头痛1年多,MRI发现右侧鞍旁肿瘤,T2WI呈非常高的亮信号,手术为海绵状血管瘤

来源:《鞍区肿瘤的影像学诊断思路》
声明:仅供医学药学专业人士阅读,不构成实际治疗建议
文章来源: 《鞍区肿瘤的影像学诊断思路》
- 还没有人评论,欢迎说说您的想法!