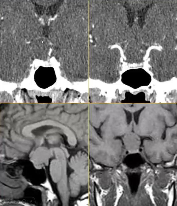
颅咽管瘤
√常发生于鞍上,向鞍内生长,压迫邻近结构
√混杂密度或信号囊实性肿块为其影像学特征,增强后不均匀强化
√50%有钙化
√5-10%可发生于鞍内

3. 鞍旁区肿瘤
√主要发生于蝶骨和海绵窦。单侧常见神经鞘瘤、脑膜瘤、海绵状血管瘤、转移瘤、动脉瘤、颈内动脉-海绵窦瘘(CCF)
√双侧同时累及常见的肿瘤为垂体腺瘤(侵袭性),脑膜瘤,转移瘤;不常见淋巴瘤
来源:《鞍区肿瘤的影像学诊断思路》
声明:仅供医学药学专业人士阅读,不构成实际治疗建议
文章来源: 《鞍区肿瘤的影像学诊断思路》
- 还没有人评论,欢迎说说您的想法!