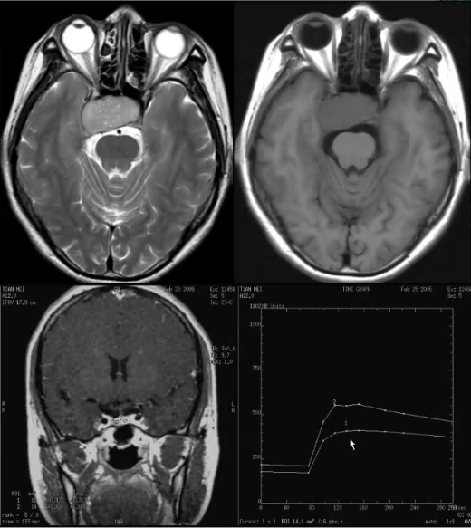
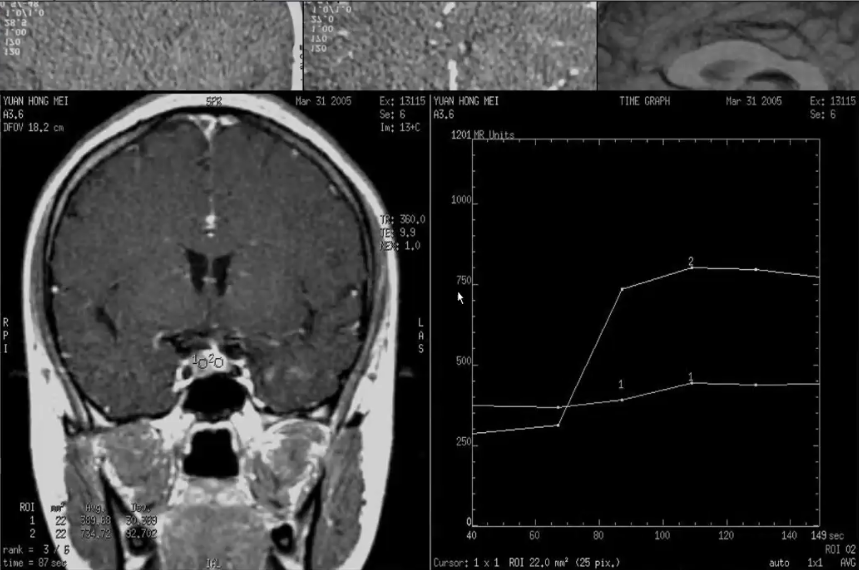
MRI表现:
√垂体微腺瘤显示优于CT
1)平扫:T1WI呈稍低信号,T2WI呈等或高信号
2)动态增强:呈缓慢低于正常垂体组织的强化。为渐进型强化曲线


垂体微腺瘤卒中
垂体肿瘤海绵窦侵犯
√海绵窦侵犯与颈内动脉接触的范围有关:
√肯定侵犯:≥67%(PPV100%)
√很可能侵犯:海绵窦结构显示不清(PPV95%)或肿瘤超过上外侧(85%)
√无侵犯:≤25%或肿瘤不超过上外侧

来源:《鞍区肿瘤的影像学诊断思路》
声明:仅供医学药学专业人士阅读,不构成实际治疗建议
文章来源: 《鞍区肿瘤的影像学诊断思路》
- 还没有人评论,欢迎说说您的想法!