垂体瘤病理:
√垂体肿瘤包膜完整,较大肿瘤常因缺血或出血而发生坏死、囊变,偶可钙化。肿瘤向上生长可穿破鞍隔突人鞍上池,向下可侵入蝶窦,向两侧可侵人海绵窦。

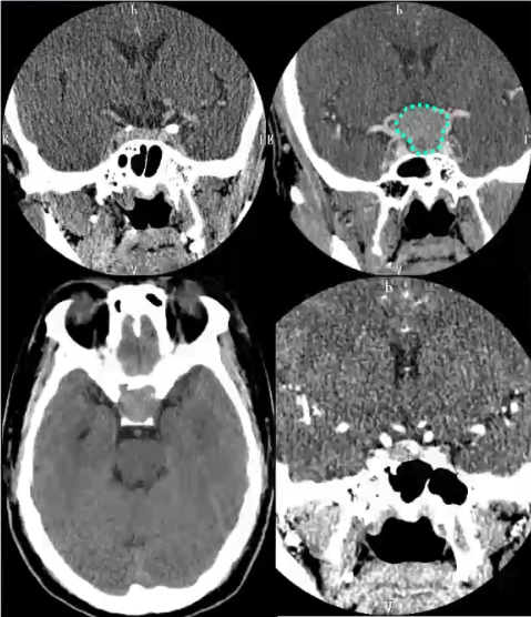
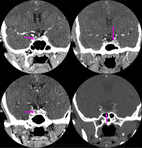
垂体瘤的CT表现:
1)蝶鞍扩大
2)直接征象:鞍内肿块,肿块呈等或略高密度,内常有低密度灶,均匀、不均匀或环形强化。平扫不易显示,增强呈等、低或稍高密度结节

3)间接征象:√垂体高度≥8mm √垂体上缘隆突 √垂体柄偏移 √鞍底下陷


来源:《鞍区肿瘤的影像学诊断思路》
声明:仅供医学药学专业人士阅读,不构成实际治疗建议
文章来源: 《鞍区肿瘤的影像学诊断思路》
- 还没有人评论,欢迎说说您的想法!