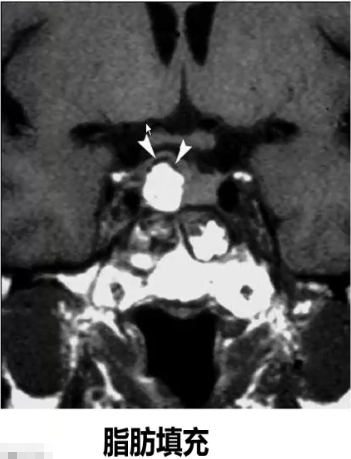
3、手术后高信号:手术填充材料(明胶海绵、脂肪);海绵窦受压血流减慢;手术区组织致密;残存垂体前叶激素分泌旺盛


来源:《鞍区肿瘤的影像学诊断思路》
声明:仅供医学药学专业人士阅读,不构成实际治疗建议
文章来源: 《鞍区肿瘤的影像学诊断思路》
- 还没有人评论,欢迎说说您的想法!
3、手术后高信号:手术填充材料(明胶海绵、脂肪);海绵窦受压血流减慢;手术区组织致密;残存垂体前叶激素分泌旺盛


来源:《鞍区肿瘤的影像学诊断思路》
声明:仅供医学药学专业人士阅读,不构成实际治疗建议
文章来源: 《鞍区肿瘤的影像学诊断思路》