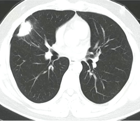
肺隐球菌感染-肿块肺炎型
●主要累及肺野中带和(或)外带
●其长轴常与胸膜平行
●收缩征常见,邻近胸膜间断受累为主
●病灶密度多较均匀
●其内支气管充气征常见
●周围可见多少不等的磨玻璃影或结节影

肺念珠菌病(Pulmonary candidiasis)
●主要见于严重免疫抑制者,如白血病、淋巴瘤、静脉药物滥用和AIDS者
●肺念珠菌病常同时伴有全身系统性播散(尿道、肝脾胃肠道等)
●肺念珠菌病最常见的CT表现为多发结节,其次为实变,常分布于支气管血管周围或胸膜下,磨玻璃影常见,影像上无法与其他肺部机遇性感染鉴别
●下列情况需考虑念珠菌肺炎:年老体弱者,特别是应用大量抗生素、激素或细胞毒性药物后出现发的肺部感染;肺部存在炎症但正确应用抗生素效果欠佳;出现鹅口疮、痰呈乳白色或灰白色,粘稠透明似胶冻状
来源:《肺部真菌感染的影像学诊断》
声明:仅供医学药学专业人士阅读,不构成实际治疗建议
文章来源: 《肺部真菌感染的影像学诊断》
- 还没有人评论,欢迎说说您的想法!