脑肺吸虫病(paragonimiasis)
>亦称“脑并殖吸虫病”,为吞食带有囊蚴的未熟河蟹、小龙虾而感染;
>脑部为最常见肺外病变,约占患者20%-30%;
>影像:颞叶、枕叶为好发部位
√隧道征—虫体在脑内穿行造成,呈小孔洞状
√脓肿—多个、聚集,环形强化,壁常见出血
√肉芽肿—等密度结节、均质强化
√出血—在儿童中常见,可只表现为出血
√钙化—晚期,以多发壳状、聚集为典型

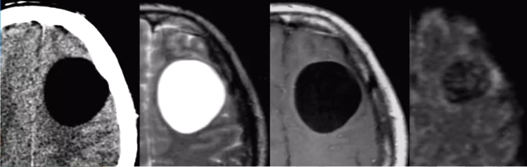
脑包虫病(echinococcosis)
>脑包虫病少见,仅占包虫病1%-2%;
>主要见于畜牧区,感染棘球绦虫的幼虫(棘球蚴)所致;
>多见于儿童、青少年,表现为癫痈、颅内压增高等;
>脑内多分两种—囊型(CE)、泡型包虫病(AE);
√CE—囊状,多见于大脑中动脉供血区;
√AE—具有侵袭性,患者有肝包虫病。

来源:《颅内感染性疾病影像诊断与鉴别诊断》
声明:仅供医学药学专业人士阅读,不构成实际治疗建议
文章来源: 《颅内感染性疾病影像诊断与鉴别诊断》
- 还没有人评论,欢迎说说您的想法!