巨细胞病毒感染性脑炎(先天性)
口是孕妇在妊娠期受到巨细胞病毒感染后,病原体破坏胎盘屏障,经胎盘感染胎儿,造成脑组织的损害。口脑损害的程度与胎儿受感染的时期有关。
口早期引起胎儿大脑基底节、丘脑区血管损害及动脉管壁增厚、变性、坏死,以致血管狭窄或闭塞,使脑实质继发缺血缺氧损害,并导致室管膜下的坏死、钙化、囊变和神经胶质增生、脑发育不良等。

HIV感染:HIV脑病
HIV病毒感染CNS单核细胞、小胶质细胞
属于退行性疾病,进行性发展为痴呆、运动功能障碍
病理基础:弥漫性脱髓鞘、神经元坏死、小胶质细胞激活、星形细胞增生等
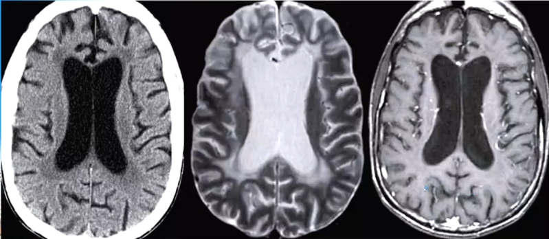
影像表现
1. 脑室周围白质弥漫性脱髓鞘,不强化、无占位效应
2. 脑萎缩√鉴别:PML(进行性多灶性脑白质病)

来源:《颅内感染性疾病影像诊断与鉴别诊断》
声明:仅供医学药学专业人士阅读,不构成实际治疗建议
文章来源: 《颅内感染性疾病影像诊断与鉴别诊断》
- 还没有人评论,欢迎说说您的想法!