02 09月 放射科 周围神经结构特点、检查技术、成像原理 周围神经结构特点● 分布范围广,走形迂曲,很难在同一层面中显示周围神经的全程:3D、高分辨成像技术● 神经与周围肌肉组织间缺乏良好的对比:重T2W成像,TE(120ms),神经信号↑、肌肉信号↓● 外周神经周围填充高信号脂肪,严重影响观察:脂肪抑制(STIR、FS、mDIXON_TSE)● 外周神经...
01 09月 放射科 国产新冠治疗药物取得新进展 新华社记者日前从国务院联防联控机制科研攻关组获悉,我国积极推进新冠治疗药物研发,除了已获批的中和抗体、化学药物和中药外,还有多个药物在临床试验中显示出疗效,科技创新有效助力了疫情防控工作。 2021年12月,国家药监局应急批准了新冠病毒中和抗体联合治疗药物安巴韦单抗注射液(BRII-1...
30 08月 放射科 周围神经概述 概述◆ 神经系统分中枢神经系统和外周神经系统。◆ 外周神经系统,也称周围神经系统,是神。经系统的外周部分,它一端与中枢神经系统的脑或脊髓相连,另一端通过各种末梢与机体其他器官、系统相联系。◆ 周围神经系统包括由脑发出的脑神经和由脊髓按节段性排列发出的脊神经,是由大量神经纤维组成的神经束。◆ 颅神经(...
30 08月 每日医讯 20批次药品不合规!涉太极集团四川南充制药产藿香正气水等 国家药监局近日发布通告,经中国食品药品检定研究院等6家药品检验机构检验,标示为郑州瑞龙制药股份有限公司、太极集团四川南充制药有限公司等9家企业生产的紫草、藿香正气水等20批次药品不符合规定。 根据通告,经福建省食品药品质量检验研究院检验,标示为山西太原药业有限公司(原太原制药厂)生产的2批次二...
26 08月 每日医讯 新版流感疫苗接种指南发布 25日从中国疾控中心获悉,为尽可能降低今冬明春可能出现的流感等呼吸道传染病对新冠肺炎疫情防控的干扰,更好地指导我国流感预防控制和疫苗应用工作,近日,该中心组织有关专家及时编制和印发了《中国流感疫苗预防接种技术指南(2022-2023)》(以下简称“2022版《指南》”)。 2022版《指南》内...
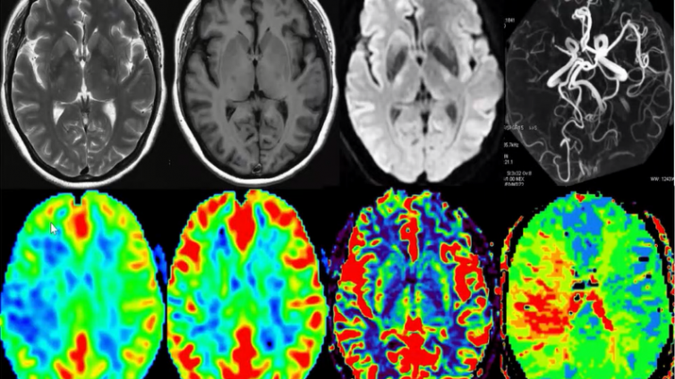
25 08月 放射科 颅脑环形强化病变的影像诊断思路总结 慢性扩展性脑内血肿慢性扩展性脑内血肿是自发性脑内血肿的一种特殊类型。脑内出血量呈少量、缓慢、持续进行,血肿不断扩大,血肿的血红蛋白分解液化,刺激周围的脑组织产生炎性反应,血肿周围胶质及纤维组织明显增生形成很厚的包膜,故又称慢性包膜性脑内血肿。影像表现> CT平扫时表现为脑实质内囊性病变,圆形,...
24 08月 放射科 脑脱髓鞘疾病(具有环形强化) 脑脱髓鞘疾病(具有环形强化)◆ 多发性硬化(MS):同心圆硬化◆ 急性播散性脑脊髓炎 (ADEM)脑脱髓鞘疾病口 病灶均分布于脑白质区口 呈多发长T1长T2信号影口 病灶呈多发环形或半环形强化,病灶大小可不一,环壁薄而均匀脑出血吸收期脑实质内出血一周后,血肿周围出现肉芽组织增生,肉芽组织内含有大量新...
23 08月 放射科 脑囊虫病理分期与影像表现 脑囊虫病理分期病理上脑实质内囊虫分四期∶口 I期∶ 囊泡期。囊虫头节含在清晰的囊液内, 囊壁薄, 周围炎症反应轻微。口 Ⅱ期∶胶样囊肿期。虫体死亡,头节开始退变,囊内液体开始变浑浊,囊泡收缩,释放的代谢物破坏血脑屏障,引起脑组织炎症反应和水肿。口 Ⅲ期颗粒结节期。囊泡皱缩,囊壁变厚,虫体及囊壁钙化,...
22 08月 放射科 颅脑环形强化病变的真菌性感染 真菌性感染脑内隐球菌感染、念珠菌感染、烟曲霉菌感染、放线菌感染均可在脑内形成脓肿。CT和MR增强扫描时呈环形强化,与脑脓肿表现相似,常难以区别。不过念珠菌性脓肿,CT增强扫描时脓肿内密度较高,常等于或低于周围脑实质,有助于与细菌性脑脓肿鉴别。烟曲霉菌性脑脓肿,环形强化之环壁常较厚且不规则。隐球菌性炎...
20 08月 放射科 脑内环形强化原发肿瘤常见于......(5) 脑内环形强化原发肿瘤常见于1. 间变性 星形细胞瘤2. 胶质母 细胞瘤3. 囊性毛细胞 星形细胞瘤4. 血管母 细胞瘤脑脓肿的并发症∶口 “子灶”形成——系脓肿壁破裂侵犯邻近组织口 脑室炎——化脓性脑室炎或室管膜炎原因较多,有时为脓肿破裂脑室所致(约50%脓肿近脑室侧的壁很薄,是脓肿破入脑室的基础)...