肺曲霉病(Pulmonary aspergillosis)
❖ 非侵袭性曲霉菌病:几乎正常或完全正常免疫状态,包括霉菌球、过敏性支气管肺曲霉菌病(ABPA)
❖ 半侵袭性曲霉菌病:中度免疫低下者,包括组织坏死和肉芽肿性炎
❖ 侵袭性真菌病:严重免疫低下者,包括气道侵袭和血管侵袭阻塞,包括坏死出血结节和出血性肺梗死
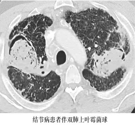
曲菌球(Aspergillomas)
❖ 先前存在的空洞内出现的圆形或类圆形、软组织密度的真菌球
❖ 与结核和结节病关系密切
❖ 洞内肿块可移动,与洞壁之间可见透亮间隙(空气新月征或气环征)
❖ 曲菌球常造成洞壁和邻近胸膜增厚

来源:《肺部真菌感染的影像学诊断》
声明:仅供医学药学专业人士阅读,不构成实际治疗建议
文章来源: 《肺部真菌感染的影像学诊断》
- 还没有人评论,欢迎说说您的想法!