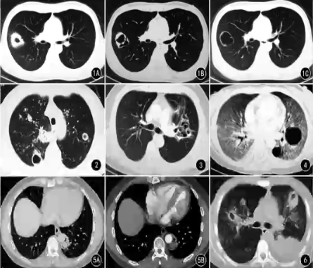
侵袭性肺真菌感染空洞CT特点
❖ 厚壁(≥3cm)空洞常见,治疗后空洞壁多最终变薄
❖ 内壁多光滑
❖ 腔内液气平少见
❖ 无特定好发部位
❖ 空洞可伴有晕征、空气新月征或气环征
❖ 空洞内结节增强无强化
❖ 除空洞外,肺部可见多发病变(斑片、结节等)

肺部常见空洞鉴别
❖ 多发肺脓肿:临床起病急、咳脓臭痰、厚壁空洞、明显液平
❖ 结核空洞:上叶尖后段及下叶背段、薄壁空洞为主、可伴钙化、气液平少见、周围多见卫星灶
❖ 空洞转移癌:空洞与实性结节并存、小环形薄壁或囊肿样空洞为主、边缘光滑、内壁不规则
❖ 韦格氏肉芽肿:双肺多发结节及空洞、多发斑片或球形实变、多为薄壁空洞、内壁光滑、部分可见气液平;鼻-肺-肾三联征;c-ANCA阳性
来源:《肺部真菌感染的影像学诊断》
声明:仅供医学药学专业人士阅读,不构成实际治疗建议
文章来源: 《肺部真菌感染的影像学诊断》
- 还没有人评论,欢迎说说您的想法!