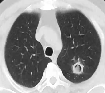
空气新月征(air-crescent sign,ACS)
❖ 定义:病灶内中央坏死结构及外周出血的肺实质之间形成了新月形的裂隙
❖ 属真菌感染晚期表现,常见于血液恶性肿瘤患者的粒缺恢复阶段
❖ 经治疗或患者免疫功能部分恢复后,真菌所致梗死灶中心收缩而外周的坏死组织被白细胞吞噬吸收
❖ 除了侵袭性真菌感染外,还可见于:细菌感染,形成空洞的肿瘤,血管炎等

空洞(cavity)
真菌感染空洞形成机制
❖ 细胞免疫受损或完全丧失者
√真菌直接造成肺结构破坏,周围产生轻度炎症反应
❖ 非免疫抑制者
√结节或实变内坏死物及真菌孢子被单核细胞、巨噬细胞和中性粒细胞吞噬并逐渐被吸收形成,多见于感染恢复期

来源:《肺部真菌感染的影像学诊断》
声明:仅供医学药学专业人士阅读,不构成实际治疗建议
文章来源: 《肺部真菌感染的影像学诊断》
- 还没有人评论,欢迎说说您的想法!