肺部真菌感染影像学诊断
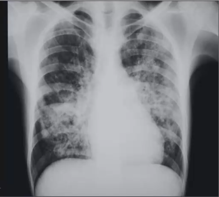
❖ 胸部X线检查(简便、廉价,对细
❖ 小病灶和病灶细微表现显示欠缺,初步筛查)
❖ CT检查(平扫、增强、CTPA)
❖ MRI(含气组织,扫描时间较长)
❖ PET-CT

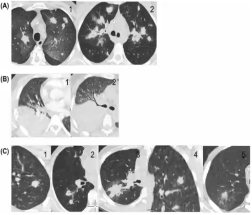
真菌感染影像检查技术-CT
❖ CT是目前诊断肺部真菌感染的奠基石
❖ CT平扫(结节、肿块样、实变、磨玻璃影、晕征、反晕征等)
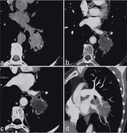
❖ CT增强(强化程度,低密度征)
❖ CTPA:结节或肿块样病变内血管改变


来源:《肺部真菌感染的影像学诊断》
声明:仅供医学药学专业人士阅读,不构成实际治疗建议
文章来源: 《肺部真菌感染的影像学诊断》
- 还没有人评论,欢迎说说您的想法!