放射科 加入小组

661个成员 18455个话题 创建时间:2020-05-22

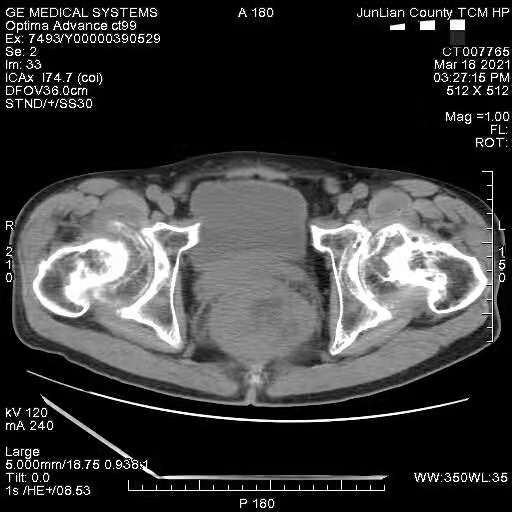
【病例讨论】直肠肿瘤,阑尾?双髋关节病变?

发表于2021-03-18 2333次查看

这个病人,在线的老师能帮我分析分析吗?这个病人4年前查出直肠肿瘤,未做特殊处理;间质瘤?现在我有两点疑惑:

1.回盲部区我看着觉得不对,肠壁增厚,阑尾增粗,好像软组织影也增多?

2.髋关节,双侧髋关节都是这样,我看一直考虑的股骨头缺血坏死,我觉得解释不通啊?这个病人是髋臼和股骨头广泛的囊变,但是关节面是完整的,没有看到塌陷,关节间隙变窄,有些地方看着关节骨性强直了,关节囊内软组织影增多、周围也有肿胀。我接触CT不久,看的比较少,劳烦老师帮忙看看。

 

 

 

6回复
  • 2楼 CT的江湖 2021-03-18

    向你学习,妹妹,感谢你为筠连县医疗事业做出的贡献。

  • 3楼 易勋平 2021-03-19

    直肠及回盲部考虑肿瘤,双髋关节骨性关节病并股骨头坏死。

    • 丫丫 2021-03-19
      谢谢易老师。但是这么严重的关节病变,关节面没有塌陷,我觉得坏死有点解释不通?
  • 4楼 苏醒的夜 2021-03-19

    1、回盲区粪便影沉积,不考虑肿瘤。阑尾增粗?没看见,请箭头标注,大家一起来看看。

    2、直肠区肿瘤,腔外生长型,因为没有肠梗阻;不除外盆腔的间质瘤。

    3、两侧髋关节骨性关节炎改变,不考虑缺失坏死,MRI可进一步明确。

  • 5楼 放飞自由 2021-03-20

    双髋关节改变,考虑类风湿性关节炎

     

    • 丫丫 2021-03-20
      类风关会累积大关节,但是这个病人的手指关节都是好的,病前一直从事煤炭工作。当然他的相关检查也不完善,但是我觉得临床病史也不支持。
    • 新医讯小医 2021-03-20
      谢谢老师回复(*^▽^*)
  • 6楼 放飞自由 2021-03-20

    直肠考虑肿瘤病变

  • 7楼 林建春 2021-03-23

    最好是有增强和多平面重建图像。

发表回复
你还没有登录,请先 登录或 注册!